La pathologie de l’hallux valgus induit une déformation du pied avec survenue de douleurs à la marche prolongée et des difficultés de chaussage. L’hallux ou gros orteil présente une déviation en dehors avec pour conséquence un conflit sur le deuxième orteil et une bursite en regard de son articulation métatarso-phalangienne. Le défaut d’appui sur le gros orteil suite à la déformation provoque des douleurs à la marche.
Au début de son apparition, une orthoplastie faite par le pédicure entre le premier et deuxième orteil peut limiter son évolution. Au stade dépassé, seul le traitement chirurgical peut être envisagé. La chirurgie de l’hallux valgus ne doit être réalisée qu’en cas de gène fonctionnelle avérée et non pour un problème esthétique !
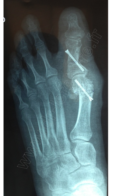
La chirurgie de l’hallux valgus consiste à réaxer le gros orteil par le fait d’ostéotomies du métatarsien et de la phalange. Cette correction d’axe facilite le chaussage en améliorant l’appui plantigrade au sol du pied à la marche et de ce fait les douleurs.
La chirurgie de l’hallux valgus est effectuée par votre chirurgien selon un mode percutané pour limiter l’agression chirurgicale. Elle répond aux mêmes critères de correction que la chirurgie conventionnelle à ciel ouvert tout en bénéficiant des avantages de la chirurgie mini-invasive (moins d’œdème, moins de douleurs, moins de risque infectieux) permettant une récupération fonctionnelle plus rapide.
Votre hospitalisation s’effectue souvent selon un mode ambulatoire. Un pansement définitif vous a été posé au bloc pour une durée de 15 jours. L’appui vous est conseillé et autorisé sous couvert de votre chaussure à soutien plantaire type podalux®pendant SIX semaines.
Les consignes de sortie, résumées sur une fiche d’information, se déclinent en la prescription d’antalgiques, la pose de glace, de consignes de surélévation du pied aux phases de repos et du port de la chaussure aux phases d’appui.
Un contrôle clinique s’effectuera à 2 semaines post-opératoire avec votre chirurgien pour la réfection de votre 2ème pansement. Un nouveau contrôle clinique sera entrepris à 1 mois post-opératoire pour l’ablation du 2ème pansement et débuter la rééducation. Par la suite, votre chaussure type podalux® sera maintenue encore 15 jours.
Le chaussage définitif est variable en fonction des individus et peut prendre quelques semaines à quelques mois. Parfois, notamment en cas d’insuffisance veineuse associée, le chaussage nécessite l’augmentation d’une pointure par rapport à la période pré-opératoire en raison de l’œdème séquellaire.






